Aesthetic Innovations: The Latest Trends in Cosmetic Dentistry

Cosmetic dentistry is popular in part because of its potential to enhance smiles. It addresses a wide range of problems like teeth discoloration, misalignment, and gaps. It is also designed to improve overall oral health and boost self-confidence. Some of the most popular procedures include dental bonding, teeth whitening, and veneers. However, new technologies are allowing dentists to be less invasive than ever and offer more choices to their patients.

This year, one of the biggest trends in cosmetic dentistry is “emotional dentistry.” Emotional dentistry is based on the idea that dental care and the appearance of our smiles has a strong impact on our emotional well-being. It offers tools that model a patient’s post-care appearance so they can better visualize the impact of their choice of treatments. This allows them to make more confident decisions on the results they want to achieve.

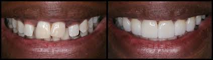
Other popular cosmetic dentistry techniques include crowns, bridges, and dental implants. Crowns are tooth-shaped caps that cover damaged or decayed teeth to restore their shape, strength, and appearance. Dental implants replace missing teeth with artificial ones that look and feel natural. Dental veneers are thin shells made of porcelain or composite resin that are placed on the front surface of the teeth to conceal imperfections.

Although teeth whitening is one of the most popular cosmetic dentistry procedures, there is a growing awareness that overly white teeth look fake and can weaken enamel. Some patients are now opting for a more subtle color and even translucent shades that blend with their natural tooth structure. These trends reflect a greater emphasis on preserving natural teeth and avoiding potentially harmful procedures like laser treatment.

Another recent trend in cosmetic dentistry is the use of digital imaging technology. This type of device uses light to scan a patient’s mouth and jaw shape and create a 3D surface model. The resulting images can be used to analyze a patient’s mouth and formulate a treatment plan. This method is less invasive than traditional clay impressions and provides an accurate representation of the patient’s mouth and teeth.

Gingival (gum) reshaping and digital smile design are two other emerging cosmetic dentistry procedures. These technologies help to eliminate gummy smiles and make teeth appear longer, while also improving the appearance of gum tissue. They also allow patients to see a preview of their final results before undergoing treatment.

With these innovations, it is possible for more people than ever to achieve the smile they have always wanted. Contact your dental clinic in Northbrook to learn about the latest cosmetic dentistry options and to schedule an appointment today. They will be happy to discuss your options and answer any questions you may have. This will ensure that you get the best treatment for your unique smile needs!

Related Post